网站首页
开云app安装不了怎么办
药师
护士
卫生资格
高级职称
住院医师
畜牧兽医
医学考研
医学论文
医学会议
开云app安装
网校
论坛
招聘
最新更新
网站地图
网校
题库
图谱首页
|
病理学
|
组织胚胎学
|
寄生虫学
|
系统解剖学
|
局部解剖学
|
皮肤学
|
性病学
|
手术图谱
|
中草药
|
中医学
|
器械检查
|
影像诊断
您现在的位置:
医学全在线
>
医学图谱
>
影像诊断
>
X射线
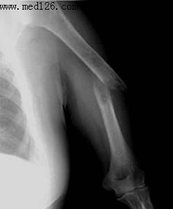
> 正文:左肱骨骨折
左肱骨骨折
来源:X射线
医学论坛
上一张图片:
房缺X射线图谱 医学影像图谱
下一张图片:
左侧胸腔积液
...
X射线推荐阅读
正常胸部X线解剖
肺部转移瘤的影像诊断
clinatls Right Bronchial Tree Bronch
正常消化道造影X线解剖
肺结核X射线图谱
正常头颅X线解剖
正常上肢X线解剖
正常下肢X线解剖
右中叶肺炎
正常胸片X线图谱
医学图谱推荐阅读
黄独(黄药子)
环状肉芽肿(granuloma annulare)07
药物性皮炎(dermatitis medicamentosa)
左心房粘液瘤切除术 Excision of Left
手背部01
吴茱萸图片
白头翁
尖锐湿疣(condyloma acuminatum)13
荨麻疹(Urticaria)02
无菌肠减压术
龙船花图片
囊内白内障摘除术
精彩推荐
2016年执业药师资格考试教材内容变化汇
2015年全国兽医资格证申请及领取时间汇
陕西省2016年卫生专业技术资格考试报名
2012年福建会计从业《会计基础》重点串
2016年呼吸科主治医师考试题库(专业代码
2016年病理学技术主管技师考试题库(专业
广西住院医师规范化培训考试历年试题汇
2016年心内科主治医师考试题库(专业代码
2014年湖北人事考试中心高级技术资格考
云南省卫计委2016年卫生资格考试工作的
关于我们
-
联系我们
-
版权申明
-
诚聘英才
-
网站地图
-
医学论坛
-
医学博客
-
网络课程
-
帮助
医学全在线
版权所有© CopyRight 2006-2026, 开云App闪退解决方案
浙ICP备12017320号
map