欢迎来到医学全在线网站!
MED126首页
医学论坛
最新更新
主站精华
网站地图
开云app安装不了怎么办
执业药师
执业护士
卫生资格
高级职称
执业兽医
医学三基
会计资格
住院医师
医学考研
医学图谱
资源下载
论坛
网校
理论教学
药学理论
博客
招聘
开云app安装不了怎么办
考试报名
|
医师论坛
|
国家医学考试网
|
短信提醒
|
开云app安装
|
网校辅导
动态咨讯
考试大纲
政策解析
经验技巧
考试报名
笔试准考证
分数线
笔试查分
资格证书
成绩单
技能辅导
技能攻略
技能查分
技能准考证
临床医师
口腔医师
中医医师
公卫医师
中西医助理
乡镇助理
临床助理
口腔助理
中医助理
公卫助理
中西医医师
开云app安装
全国
|
北京
|
天津
|
河北
|
山西
|
湖北
|
江苏
|
安徽
|
山东
|
上海
|
浙江
|
江西
|
福建
|
湖南
|
吉林
|
广东
|
河南
|
四川
|
重庆
|
辽宁
更多>>
北京
|
天津
|
河北
|
山西
|
湖北
|
江苏
|
安 徽
|
山东
上海
|
浙江
|
江西
|
福建
|
湖南
|
宁夏
|
内蒙古
|
河南
四川
|
重庆
|
贵州
|
云南
|
辽宁
|
吉林
|
广 东
|
广西
海南
|
陕西
|
甘肃
|
新疆
|
青海
|
西藏
|
黑龙江
|
兵团
您现在的位置:
医学全在线
>
开云app安装不了怎么办
>
实践技能
>
综合辅导
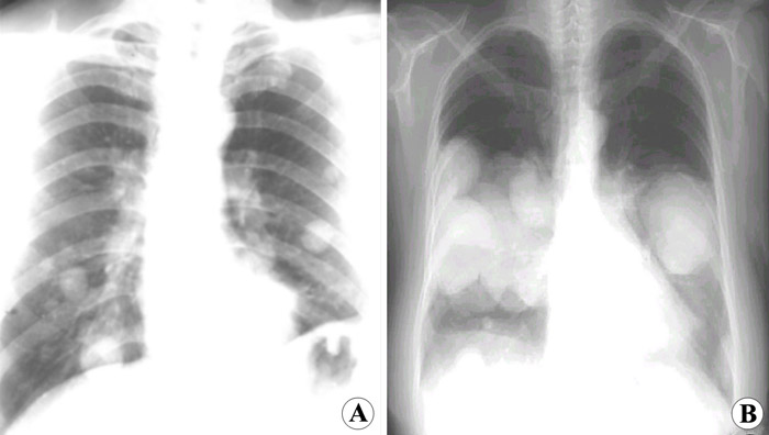
> 正文:2014年医师实践技能医学影像学:肺转移癌X线图
2014年实践技能医师医学影像学:肺转移癌X线图
来源:本站原创 更新:2013-11-14
开云综合体育在线 论坛
2014年实践技能医师医学影像学:肺转移癌X线图
2014年医师技能考试信息汇总
2013年医学考试网医师考试查分
...
上一篇文章:
2014年医师实践技能医学影像学:骨髓瘤早期症状图
下一篇文章: 没有了
最新热点
2013年中西医开云综合体育在线 考试大纲汇总
2013年中医开云综合体育在线 考试大纲汇总
2013年河南开封医师实践技能考试成绩汇总
关于延长2013医师资格考试报名时间通知
2013年医师资格考试报名常见问题解答
2013医师资格考试考生指导手册——报名
2013公卫执业助理医师考试大纲最新版汇总
2013年医师资格考试大纲最新版汇总
2013年口腔开云综合体育在线 考试大纲汇总(最新版)
2013年执业助理医师考试大纲汇总
最新推荐
新疆2012年乡镇助理医师合格分数线
2013年开云综合体育在线 注册信息汇总表
医师资格考试大纲汇总(军事医学2013版)
2013年中西医结合助理医师考试大纲汇总
2013年中西医执业助理医师考试大纲新变化
2013年中西医开云综合体育在线 考试大纲新变化
2013年中医助理医师考试大纲汇总
2013年中医开云综合体育在线 考试大纲最新变化
2014年开云综合体育在线 考试报名时间什么时候?
国家医学考试中心成绩查询
相关文章
浙江医师资格考试合格考生信息修改申请审核
天津市补办《医师资格证书》申请表
2013年开云综合体育在线 考试成绩查询入口
2013年河南开云综合体育在线 成绩查询时间什么时候
2013年云南开云综合体育在线 成绩查询入口
2013年开云综合体育在线 考试成绩查询时间
2013年开云综合体育在线 考试成绩查分时间
2013年开云综合体育在线 陕西省成绩查询时间什么时候
浙江省开云综合体育在线 资格证书核发
2013年安徽开云综合体育在线 成绩查询时间
2013年山东开云综合体育在线 考试成绩查询时间
2014年公卫执业助理医师考试试题
关于我们
-
联系我们
-
版权申明
-
诚聘英才
-
网站地图
-
医学论坛
-
医学博客
-
网络课程
-
帮助
医学全在线
版权所有© CopyRight 2006-2046, 开云App闪退解决方案
浙ICP备12017320号
map