![]() |
162.奶牛,2岁,干咳,起卧、运动时咳嗽加剧。剖检可见肺脏和淋结有增生性炎症。该病最可能是
A.牛病毒性腹泻-黏膜病
B.牛巴氏杆菌病
C.牛结核病
D.牛肺疫
E.牛传染性鼻气管炎
163.仔猪,消瘦、贫血,剖检见盲肠内有多量虫体,形似鞭子,细长的头部深埋在肠黏膜内。该病最可能的诊断是
A.毛尾线虫病
B.食道口线虫病
C.类圆线虫病
D.棘头虫病
E.蛔虫病
164.牛,消瘦,剖检见肝脏硬化,切面有大量虫卵结节,在肠系膜静脉和门静脉内可找到雌雄合抱的虫体。该病的诊断是
A.华支睾吸虫病
B.前后盘吸虫病
C.肝片吸虫病
D.日本分体吸虫病
E.歧腔吸虫病
165. 犬, 3月龄,体温呈双相热,咳嗽,眼睑肿胀,呈化脓性结膜炎。后期足垫表皮过度增生、角化。预防该病应接种的疫苗是
A.犬细小病毒病疫苗
B.犬瘟热疫苗
C.犬传染性肝炎疫苗
D.狂犬病疫苗论
E.犬副流感疫苗
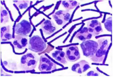
166.牛体温升高,兴奋不安,吼叫。然后变虚弱,食欲废绝,呼吸困难,先便秘后腹泻带血。取病料涂片,瑞氏染色镜检见图。该病是

A.结核病
B.气肿疽
C.牛出血性败血症
D.牛流行热
E.炭疽杆菌病
167.—蛋鸡群,13周龄,部分鸡发病,初期精神委顿,步态不稳,随后不能行走,呈劈又姿势,体重减少,严重者死亡。剖检见肝、脾有明显的大小不等的肿瘤。该病的最主要传播媒介是
A.饮水
B.饲料
C.种蛋
D.空气
E.用具
168. 羔羊,腹泻,粪便带血,很快死亡。剖检见回肠黏膜充血,内容物呈血色。 病原检查为革兰阳性杆菌,接种牛乳培养基出现“暴烈发酵”。该病原最可能是
A.布鲁菌
B.炭疽杆菌
C.大肠杆菌
D.产气荚膜梭菌
E.巴氏杆菌
妊娠4个月的初产羊出现流产。流产前精神、食欲下降,口渴,阴道流出黄色黏液,部分病羊出现乳腺炎和关节炎。同场种公羊出现睾丸炎和附睾炎。
169.该病最可能是
A.结核病
B.小反刍兽疫
C.布鲁菌病
D.破伤风
E.口蹄疫
170.若该病由动物传至人,对人群致病性最强的病原来自
A.鸡
B.羊
C.牛
D.猪
E.鸭

更多执业兽医考试相关内容: